Composite Bonding Leeds

If you are looking for composite bonding in Leeds, our experienced cosmetic dental team is located just a short drive away in Tadcaster. We provide fast, non-invasive composite bonding treatments to seamlessly repair chipped edges, close gaps, and enhance the natural shape of your smile.

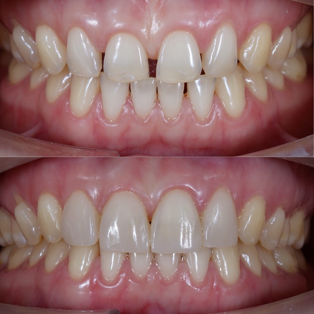
A before and after image of composite bonding on real teeth

What is Composite Bonding?

Composite bonding (sometimes called dental bonding or cosmetic bonding) is a highly effective aesthetic treatment where a durable, tooth-coloured resin is applied directly to your natural teeth. The resin is carefully sculpted into the desired shape and then hardened using a specialist UV light. We precisely colour-match the material to your existing teeth, ensuring the final result looks completely natural.

What Can Composite Bonding Fix?

Bonding is an excellent, cost-effective alternative to porcelain veneers for minor aesthetic issues. We regularly use this treatment to correct:

  • Chipped or Cracked Teeth: Instantly restoring the damaged edge of a tooth.
  • Gaps Between Teeth: Closing small spaces (diastemas) without the need for braces.
  • Uneven Tooth Lengths: Lengthening shorter teeth to create a more uniform, symmetrical smile.
  • Discolouration: Covering stubborn stains that do not respond to traditional teeth whitening.

A Fast, Non-Invasive Procedure

One of the primary reasons patients choose composite bonding is the simplicity of the procedure.

  • Completed in a Single Visit: In most cases, your treatment can be finished in just one appointment, allowing you to walk out with a transformed smile on the same day.
  • No Drilling Required: Unlike traditional veneers or crowns, bonding typically requires zero removal of your natural, healthy tooth enamel.
  • Pain-Free Treatment: Because the structure of the tooth is left intact, anesthetic or injections are rarely needed.

Easily Accessible from Leeds

Located at 36 Kirkgate, Tadcaster (LS24), our practice is highly accessible for patients travelling from East Leeds and the surrounding areas who want private, high-quality cosmetic care without city-center parking hassles. During your initial consultation, we will assess your teeth, discuss your goals, and provide a fully transparent breakdown of the costs before any treatment begins.